 
 Your Crowley Dentist
 
 Opening Hours
| Day | Hours | 
|---|---|
| Monday | 8:30 a.m. - 5:30 p.m. | 
| Tuesday | 8:30 a.m. - 5:30 p.m. | 
| Wednesday | 8:30 a.m. - 5:30 p.m. | 
| Thursday | 8:30 a.m. - 5:30 p.m. | 
| Friday | 8:30 a.m. - 3:00 p.m. | 
| Saturday | 8:00 a.m. - 2:00 p.m. | 
| Sunday | Closed | 
Your Crowley VENEERS EXPERTS
Frequently Asked Questions
How much time should I expect to spend on this?
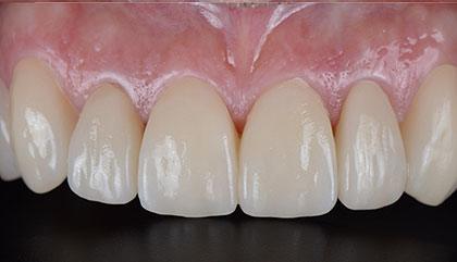
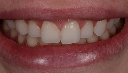
Transform your smile, transform your life! At Today Dental of Crowley, we understand the profound impact a dazzling smile can have. That's why we've designed a convenient and personalized veneer program, typically requiring only 2 comfortable appointments spaced 2-3 weeks apart. To further guarantee your satisfaction, we offer an optional "try-in" appointment. This unique opportunity allows you to preview your custom-designed veneers before permanent placement, ensuring they reflect your desired color, shape, and overall aesthetic. At Today Dental, we prioritize creating natural-looking smiles that boost your confidence and empower you to shine brighter than ever before.
Could you share the pricing details?
Enhancing your smile with porcelain veneers offers a variety of aesthetic and functional benefits, and understanding the associated costs helps you plan effectively. Each veneer typically falls within the $1,200-$2,000 range, with most patients requiring 6-8 to create a complete "Smile Zone" makeover. However, the final cost is influenced by your individual needs and preferences. You can choose between standard and premium veneer options, each offering unique advantages. Additionally, your unique dental anatomy might necessitate adjustments to the initial cost estimate. For example, replacing existing restorations, concealing metal fillings, or addressing teeth grinding could impact the final price. We firmly believe in upfront pricing and clear communication. During your consultation, we'll meticulously explain any potential cost variations specific to your case, ensuring you make an informed decision about investing in a smile that empowers you to shine even brighter.
What can I expect when I come to see you for the first time?
Give your smile the free evaluation it deserves! During your complimentary consultation at Today Dental, we'll utilize X-rays to assess your bone and gum health, delve into your past dental treatments, and even screen for bruxism – potential teeth grinding requiring a mouth guard after veneers. Remember, "Today" isn't just in our name, it's our philosophy! We champion efficiency, often allowing you to embark on your veneer transformation immediately following your consultation, minimizing wait times and maximizing convenience.
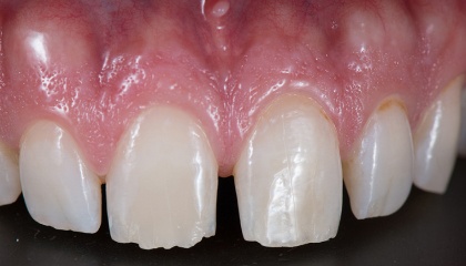
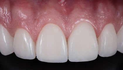
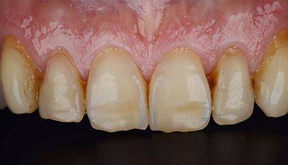
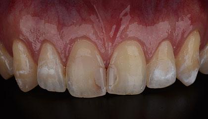
What are the benefits of getting dental veneers?
Here are the common reasons why people choose to get veneers:
- Conceal stained, chipped, or misshapen teeth with veneers' beautiful camouflage.
- Achieve a dazzling white smile, even if traditional methods fall short. Veneers conquer stubbornness! Uneven gaps or misalignment stealing your smile confidence? Veneers create perfect symmetry.
- Durable and stain-resistant, veneers are beauty built to last. Invest in happiness!
- Preserve your natural smile – veneers require minimal enamel removal for maximum impact.
- Fast results, long-lasting joy! Veneers often take just a few appointments.
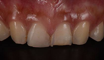
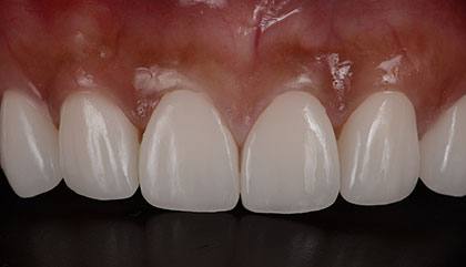
Can you repair dental veneers?
Don't worry, Today Dental often has repair solutions! We're committed to conservative dental care and preserving your natural teeth. Our skilled dentists will evaluate your veneer and propose the optimal strategy, be it a repair that matches seamlessly with your existing smile or, less frequently, a replacement. Put your smile concerns to rest with Today Dental's expertise and dedication to minimal intervention.
 
  
  
  
  
  
  
  
  
  
  
  
  
  
  
  
  
  
  
 