We Feel You…

Dentists Have Fillings Too

Tooth Colored Filling to Match Your Beautiful Smile!

Your Crowley Dentist

Owners of Today Dental

Today Dental Crowley

Fillings designed to last!

Your Crowley dentist doesn’t mess around when it comes to fillings! We bring you advanced techniques, ensuring your dental fillings are done efficiently and to stand the test of time.

Anxiety-free dentistry

We get it—dentistry can be nerve-wracking. That’s why we’ve got a range of sedation options (IV, Conscious, & Nitrous) to turn your dental fillings experience from dread to relaxation.

Caring dentist

Get ready for dental fillings that go way beyond the ordinary! At Today Dental of Crowley, we invest significant time in Continuing Education courses to perfect the art and aesthetics of resin restorations.

Conservative planning

Caught between a crown and a filling decision? Here at Today Dental in Crowley, we’re all about keeping it conservative! We promise not to overdo it—only what’s necessary.

Painless approach!

No more “ouch” moments! We know a pain-free in-office experience is crucial, but we take it a step further. Our postoperative care ensures you leave without lingering discomfort. Ice cream without the wince? Absolutely!

Simple and Clear Treatment Plans

We’re all about experience at Today Dental, and it’s time for you to take center stage. You can expect comfort, crystal-clear treatment plans, and conservative dental treatment that lasts.

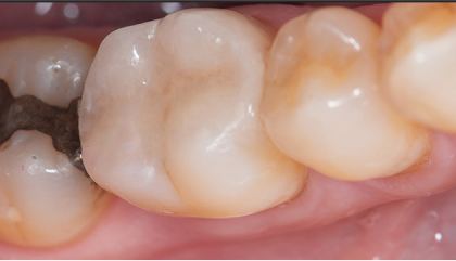
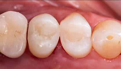
The Art of Dental Fillings

before
after
before
after
before
after
before
after

Opening Hours

DayHours
Monday8:30 a.m. - 5:30 p.m.
Tuesday8:30 a.m. - 5:30 p.m.
Wednesday8:30 a.m. - 5:30 p.m.
Thursday8:30 a.m. - 5:30 p.m.
Friday8:30 a.m. - 3:00 p.m.
Saturday8:00 a.m. - 2:00 p.m.
SundayClosed

YOUR Crowley TEAM

Crowley Office
Crowley Office
Crowley Office
Crowley Office
Crowley Office
Crowley Office
Crowley Office
Northlake Office
MB
Megan B.

Friendly staff and dentist was great and very fast! they were great with my children. I had a situation that needed to be taken care of immediately and they got my daughter in same day for an exam and a baby root canal! Definitely will be coming back regularly

TJ
Trinity J.

My 1st visit today was most welcoming. For someone who is terrified of the dentist I had a wonderful experience. Dr. Ledesma and staff walked me through everything and explained all my needs. Great place. I will be letting the take care of my needs forward!

GC
Gavino C.

Called this establishment for confirmation on walk-in appointments. I showed up and was seen in a matter of minutes. The staff is phenomenal and I received all the answers and care I needed. Highly recommended location.

DP
Denese P.

It was my first time here and I definitely chose the right place. The dentist, hygienist and staff were professional and very nice ! They made me feel so welcome and comfortable. I highly recommend!

You’ve made it this far. . .

FREE Teeth Whitening

Just ask at your first visit

Your Crowley DENTAL FILLING EXPERTS

Frequently Asked Questions

How long does a dental filling typically take?

Dental fillings typically take around 15-30 minutes per quadrant (like the upper right side of your mouth) after the initial exam. At Today Dental of Crowley, whenever possible, we prioritize completing all your fillings in one visit to save you time and money.

What is the cost of a dental filling?

Fillings are generally the most cost-effective option for restoring a tooth's health, function, and appearance. The cost depends on two main factors:

  • Location: Fillings on teeth further back in your mouth tend to be more expensive than those on front teeth.
  • Number of surfaces filled: The more surfaces (out of six) requiring filling due to decay or fracture, the higher the cost.

In most cases, dental insurance covers 80% to 100% of the cost. If you don't have dental insurance, we offer our in-office discount plan (CareDent) to provide insurance-like pricing.

What happens during the first filling appointment?

In some cases, the dentist might numb the area before the procedure. For shallow decay, anesthesia might not be necessary. The dentist will then use a special tool to remove any decay and fractures from the tooth. They will then fill the tooth with a tooth-colored composite resin that hardens with a special light. Finally, they will adjust your bite and polish the filling, and voila, you're done!

Why should I get a dental filling?

At Today Dental of Crowley, we prioritize conservative dentistry. This means we aim to preserve as much of your natural tooth structure as possible. Whenever possible, dental fillings are a more conservative and cost-effective option compared to crowns. Our dentists will only recommend treatments you absolutely need, treating all patients like family with a commitment to quality and ethical practices.

Do you repair existing fillings?

Yes! Whenever possible, we prefer to repair existing fillings rather than completely replacing them. However, if there's decay present, the dentist might need to remove the entire filling. We will always strive to preserve any previous dental work as long as it doesn't affect the function or durability of the tooth.