A Reason to Smile…

Free Teeth Whitening

Your Crowley Dentist

Owners of Today Dental

Today Dental Crowley

Affordable whitening

Experience high end affecting whitening at a budget-friendly price. At Today Dental of Crowley we understand maintaining your appearance all while managing your budget can be stressful. We’ve strategically kept costs low, enabling you to attain the smile you’ve always dreamt about.

Teeth whitening free of pain

Opt for comfortable teeth whitening at our Crowley dental practice. We have options that allow you to get a brighter smile without the struggle with post-op sensitivity. Also, enjoy free desensitizing gel for extra comfort.

Prepare for life’s special moments!

Whether it’s a wedding or a reunion, whitening your teeth is the swift and painless way to turn back the clock. And yes, we’ve got your back!

Bright and white!

At Today Dental of Crowley, we know that stained, dull teeth can impact more than just your smile. We offer custom trays, in-office professional whitening, and whitening kits to cater to all your teeth-whitening needs.

Caring approach

Embrace a different level of dental care at Today Dental of Crowley. It’s not just about the brightness of your teeth; we’re dedicated to forming lasting connections with our patients.

Crowley Free Whitening 4 Life

We have a complimentary whitening program designed just for you at your Crowley dentist. During your visit, we’ll provide custom whitening trays and whitening gel. Plus, enjoy a free tube of whitening gel each time you attend a cleaning!

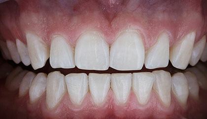
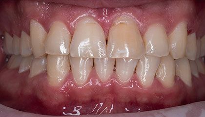
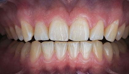
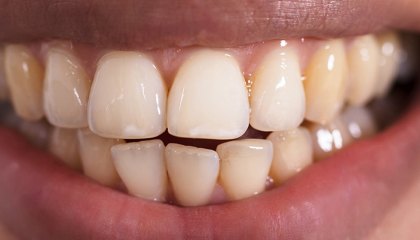
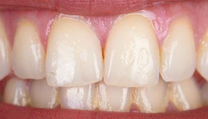
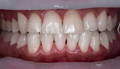
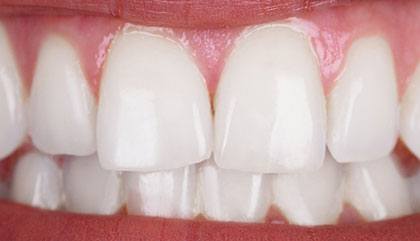
Beautiful White Smiles

before
after
before
after
before
after
before
after
before
after

Opening Hours

DayHours
Monday8:30 a.m. - 5:30 p.m.
Tuesday8:30 a.m. - 5:30 p.m.
Wednesday8:30 a.m. - 5:30 p.m.
Thursday8:30 a.m. - 5:30 p.m.
Friday8:30 a.m. - 3:00 p.m.
Saturday8:00 a.m. - 2:00 p.m.
SundayClosed

YOUR Crowley TEAM

Crowley Office
Crowley Office
Crowley Office
Crowley Office
Crowley Office
Crowley Office
Crowley Office
Northlake Office
MB
Megan B.

Friendly staff and dentist was great and very fast! they were great with my children. I had a situation that needed to be taken care of immediately and they got my daughter in same day for an exam and a baby root canal! Definitely will be coming back regularly

TJ
Trinity J.

My 1st visit today was most welcoming. For someone who is terrified of the dentist I had a wonderful experience. Dr. Ledesma and staff walked me through everything and explained all my needs. Great place. I will be letting the take care of my needs forward!

GC
Gavino C.

Called this establishment for confirmation on walk-in appointments. I showed up and was seen in a matter of minutes. The staff is phenomenal and I received all the answers and care I needed. Highly recommended location.

DP
Denese P.

It was my first time here and I definitely chose the right place. The dentist, hygienist and staff were professional and very nice ! They made me feel so welcome and comfortable. I highly recommend!

You’ve made it this far. . .

FREE Teeth Whitening

Just ask at your first visit

Your Crowley WHITENING EXPERTS

Frequently Asked Questions

What's the timeline for completion?

Get lasting results, fast! In-office whitening (Zoom/Boost) provides noticeable improvement in just one session (1-1.5 hours), using powerful gels and light.

Is this suitable for people with veneers or crowns?

Keep in mind: whitening doesn't work on veneers or crowns. However, your Today Dental of Crowley dentist can advise you on alternative solutions for a brighter smile.

What is the financial investment for this procedure?

Free teeth whitening is just a visit away! At Today Dental of Crowley, all patients receive a free custom whitening kit with trays, gel, and a case. We'll provide free gel refills and replace lost trays, ensuring you can maintain your bright smile. For even faster whitening results, explore our in-office professional service, usually priced between $200-$300 (consider holiday specials for potential savings).

Is teeth whitening the right option for me?

Let's discuss your path to a brighter smile! While we at Today Dental love whiter teeth, suitability depends on several factors. We assess your current teeth condition, oral health, and desired outcome. Generally, whitening works well for stains caused by age, food/drinks, and smoking, but may not be suitable for untreated cavities, gum disease, or other dental issues. Remember, overuse or improper use of whitening products can lead to sensitivity and complications, so professional guidance is key before proceeding.

Is my age a factor in teeth whitening?

16 and under? Hold off on whitening! Teeth whitening is generally not recommended for individuals under 16 at Today Dental. This is because their teeth are still developing, making them more sensitive. We can help you decide if waiting until you're older is best or explore alternative options for a bright smile.