Crowns...

Absolutely
Experience Matters.
0
Crowns cemented... and counting ;)

Your Crowley Dentist

Owners of Today Dental

Today Dental Crowley

Long lasting crowns

Flawless smile! Crowns designed for longevity. We craft personalized crowns to perfectly suit your unique mouth. We consistently integrate the newest cutting-edge technology so you can know you’re getting the best crown available today.

Knowledgeable dentists

Dedicated to function and cosmetics! Our Today Dental of Crowley dentist has invested significant time in Continuing Education courses and collaborates with local labs to create the best dental crown.

Less time, less stress!

Utilizing the latest advancements in dentistry, we’ve streamlined the crown procedure and our business practices leading to reduced time in the dental chair. Spend more time with your loved ones then at the dentist.

Focused on conservation

We place a significant emphasis on conservative dentistry as our primary focus. Our goal is to retain as much natural tooth structure as possible by employing techniques that are minimally invasive.

Money savings

Today Dental in Crowley is dedicated to cost savings by developing affordable solutions. This dedication guarantees a dental experience that is both exceptional and budget-friendly.

Never feel pain!

Call us today to learn more about our array of sedation options (IV sedation, conscious sedation, and nitrous oxide). As your preferred Crowley Texas dentist, we commit to providing a pain-free and comfortable visit.

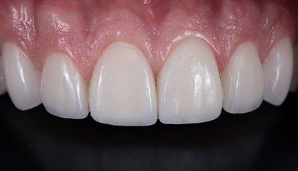
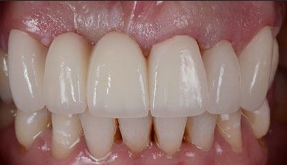
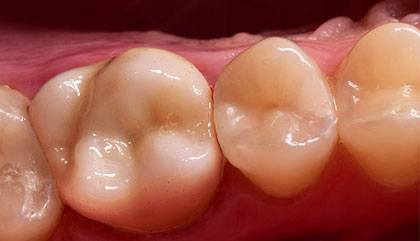
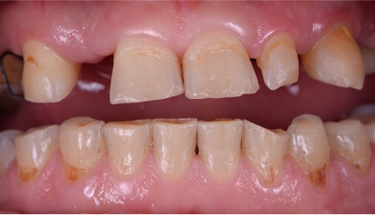
Great Crowns are Backed by Great Warranties

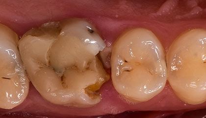
before
after
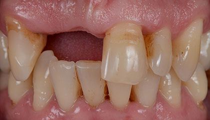
before
after
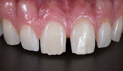
before
after
before
after

Opening Hours

DayHours
Monday8:30 a.m. - 5:30 p.m.
Tuesday8:30 a.m. - 5:30 p.m.
Wednesday8:30 a.m. - 5:30 p.m.
Thursday8:30 a.m. - 5:30 p.m.
Friday8:30 a.m. - 3:00 p.m.
Saturday8:00 a.m. - 2:00 p.m.
SundayClosed

YOUR Crowley TEAM

Crowley Office
Crowley Office
Crowley Office
Crowley Office
Crowley Office
Crowley Office
Crowley Office
Northlake Office
MB
Megan B.

Friendly staff and dentist was great and very fast! they were great with my children. I had a situation that needed to be taken care of immediately and they got my daughter in same day for an exam and a baby root canal! Definitely will be coming back regularly

TJ
Trinity J.

My 1st visit today was most welcoming. For someone who is terrified of the dentist I had a wonderful experience. Dr. Ledesma and staff walked me through everything and explained all my needs. Great place. I will be letting the take care of my needs forward!

GC
Gavino C.

Called this establishment for confirmation on walk-in appointments. I showed up and was seen in a matter of minutes. The staff is phenomenal and I received all the answers and care I needed. Highly recommended location.

DP
Denese P.

It was my first time here and I definitely chose the right place. The dentist, hygienist and staff were professional and very nice ! They made me feel so welcome and comfortable. I highly recommend!

You’ve made it this far. . .

FREE Teeth Whitening

Just ask at your first visit

Your Crowley CROWN & Bridge EXPERTS

Frequently Asked Questions

What’s the timeframe to have a crown completed at a dental office?

Crowns and bridges typically involve two appointments spaced a few weeks apart. However, emergencies like chipped front teeth might allow for quicker completion of crowns. While some clinics offer same-day crowns, our experience indicates superior results come from crowns crafted in our on-site lab using high-heat techniques. At Today Dental of Crowley, prioritizing long-lasting functionality and optimal patient care is our guiding principle.

Are Crowns expensive?

Dental crowns are often a more budget-friendly option compared to root canals with crowns, implants, or dentures. We understand the importance of affordability. Today Dental offers various options to fit your needs, including an in-house savings plan and flexible payment plans. Additionally, crown pricing varies depending on location in your mouth and the material chosen, like porcelain or zirconia. Cash-paying patients can expect costs within a range of $900-$1,400, while those with dental insurance may benefit from reduced costs.

Curious about your initial visit?

Efficiency is key at Today Dental of Crowley. Upon arrival, you'll be greeted and escorted to the treatment area. To assess your oral health, we'll take digital images and X-rays. The dentist will then perform a thorough examination and ask about any potential discomfort. If decay or fractures are identified, crown treatment might be recommended. In most cases, we strive to initiate treatment on the same day, reflecting our commitment to prompt care. Following tooth preparation for the crown, a temporary restoration will be placed. An impression of the prepared tooth will be taken, and you'll return in 2-3 weeks for permanent crown placement.

Confused about dental bridges?

Think of a dental bridge as a solution similar to a crown, but for missing teeth. It consists of two or more crowns cemented to the teeth flanking the gap (called abutment teeth) and one or more artificial teeth (pontics) filling the space between. The abutment teeth act as anchors, while the pontic effectively restores the appearance and functionality of the missing tooth/teeth. Bridges can be made from various materials, including porcelain or zirconia, and they are securely attached to natural teeth for optimal stability. While dental bridges offer a convenient solution for replacing one or two missing teeth, they might not be suitable for restoring numerous missing teeth. A dental professional can offer further guidance in such cases.

Unsure if a dental crown is right for you?

At Today Dental of Crowley, we prioritize conservative approaches, aiming to preserve as much healthy tooth structure as possible. We believe that natural teeth offer unmatched functionality and durability. So, why consider a dental crown? Firstly, crowns act as tooth savers, protecting existing tooth structure compared to alternatives like implants or dentures that require tooth extraction. Additionally, crowns offer a simple and efficient solution to reinforce weakened, cracked, or decayed teeth. Furthermore, they can enhance both the aesthetics and functionality of your smile.