Dental Cleanings

Never Felt So Clean

Your Crowley Dentist

Owners of Today Dental

Today Dental Crowley

Gentle and soft cleanings

Avoid the annoyance of poking and prodding! Our Crowley dental team firmly opposes heavy-handed cleanings. Experience only fingertip pressure for a thorough teeth cleaning without the need to jump out of the chair.

New Ultrasonic technology

Elevate your dental cleaning experience with ultrasonic technology at Today Dental of Crowley. Our dedication to superior care integrates the Cavitron and laser for a more efficient and effective cleaning process.

Saving time

Save time in the dental chair with our efficient system. Swift seating, rapid teeth cleaning, and you’re out in no time. It’s a straightforward and speedy process.

Maximized savings

Maximize your savings with Today Dental’s approach. By leveraging state-of-the-art technology like lasers and ultrasonic scalers, we’ve shortened cleaning appointments, offering you more value for your money.

A painless treatment approach

Enjoy pain-free dental cleanings at Today Dental of [Office Location], where we blend technology and a gentle touch. Select from our three sedation options: IV sedation, conscious sedation, and nitrous oxide, ensuring your comfort throughout the process.

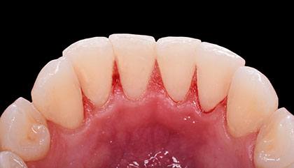
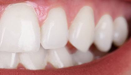
Better Teeth Better Health

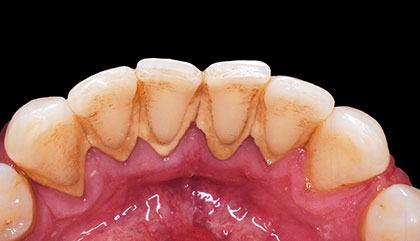
before
after
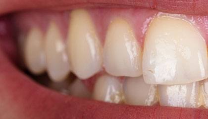
before
after
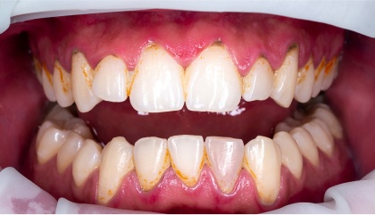
before
after
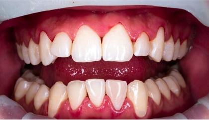
before
after

Opening Hours

DayHours
Monday8:30 a.m. - 5:30 p.m.
Tuesday8:30 a.m. - 5:30 p.m.
Wednesday8:30 a.m. - 5:30 p.m.
Thursday8:30 a.m. - 5:30 p.m.
Friday8:30 a.m. - 3:00 p.m.
Saturday8:00 a.m. - 2:00 p.m.
SundayClosed

YOUR Crowley TEAM

Crowley Office
Crowley Office
Crowley Office
Crowley Office
Crowley Office
Crowley Office
Crowley Office
Northlake Office
MB
Megan B.

Friendly staff and dentist was great and very fast! they were great with my children. I had a situation that needed to be taken care of immediately and they got my daughter in same day for an exam and a baby root canal! Definitely will be coming back regularly

TJ
Trinity J.

My 1st visit today was most welcoming. For someone who is terrified of the dentist I had a wonderful experience. Dr. Ledesma and staff walked me through everything and explained all my needs. Great place. I will be letting the take care of my needs forward!

GC
Gavino C.

Called this establishment for confirmation on walk-in appointments. I showed up and was seen in a matter of minutes. The staff is phenomenal and I received all the answers and care I needed. Highly recommended location.

DP
Denese P.

It was my first time here and I definitely chose the right place. The dentist, hygienist and staff were professional and very nice ! They made me feel so welcome and comfortable. I highly recommend!

You’ve made it this far. . .

FREE Teeth Whitening

Just ask at your first visit

Your Crowley DENTAL cLEANING EXPERTS

Frequently Asked Questions

Can I schedule an appointment for today?

We understand the value of your time and strive to accommodate your needs. Today Dental prioritizes same-day appointments whenever possible. In the rare instance our office is closed, we will gladly connect you with an appointment at our nearby sister office.

What is an ultrasonic cleaning?

Today Dental utilizes advanced ultrasonic cleaning technology for a gentler and more efficient experience. This method employs high-frequency sound waves and a specialized solution to effectively remove plaque, tartar, and stains from your teeth. It offers a more comfortable and efficient alternative to traditional cleaning methods.

I may need a "deep cleaning," can you help?

Absolutely! Our experienced hygienist and dentist have done more scaling and root planings (aka “Deep Cleanings”) then we can count. Scaling and root planing is typically recommended for individuals with gum disease or significant plaque and tartar buildup below the gumline. We will assess your oral health and determine the most appropriate treatment plan based on your individual needs. Customized treatment is our forte at Today Dental of Crowley.

Can I get a regular cleaning when I know I need a "deep cleaning"?

While regular cleanings are vital for maintaining oral health, they are not recommended for individuals requiring a deep cleaning due to gum disease. A deep cleaning addresses more advanced plaque and tartar buildup below the gumline, requiring specific treatment protocols. In some cases, a preliminary debridement cleaning might be suitable to prepare the teeth above the gumline for your upcoming deep cleaning appointment.

How long will my appointment take?

The duration of your appointment depends on several factors, such as whether you are a new or existing patient and the type of procedure required. Typically, routine cleanings with exams and X-rays take approximately one hour for returning patients and one and a half hours for new patients. Deep cleanings (scaling and root planing) usually require a separate appointment and can last anywhere from one to three hours, depending on the severity of the case.

We encourage you to schedule an appointment at Today Dental for a comprehensive consultation. We value the opportunity to discuss your concerns, assess your oral health needs, and develop a personalized treatment plan designed to achieve and maintain optimal oral health.