We Do the Impossible…

Pain Free Root Canals

Fingers crossed you don’t need it, but if you do, we’re here to help

Your Crowley Dentist

Owners of Today Dental

Today Dental Crowley

Long lasting root canals

Break free from pain with our spotless root canals! We uphold unwavering quality standards, employing cutting-edge technology and materials customized to ensure your tooth remains healthy and strong.

Less time, less stress!

Discover quicker root canal appointments at Today Dental of Crowley, where modern dental techniques reduce procedure times. Maximize your family moments by minimizing the time spent in the dental office.

Knowledgeable dentists

Experience matters. Our commitment to learning is evident in the hours dedicated to Continuing Education courses. Stay assured as we remain current on new methods and products, ensuring superior outcomes.

Never feel pain!

Choose Today Dental of Crowley for pain-free root canals, designed to save your tooth and alleviate any discomfort. Our root canal process ensures a pain-free experience comparable to a routine dental filling.

Focused on conservation

Your dental health matters! Choose us for conservative root canal treatment, placing a premium on preserving your natural tooth structure through advanced minimally invasive root canal therapy.

Money savings

Achieve cost savings at your Crowley dentist! We maximize the efficiency of root canal appointments, providing affordable treatments for an exceptional dental experience that won’t break the bank.

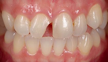
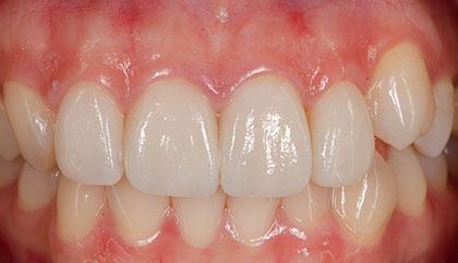
Our Superpower is Saving Teeth

before
after
before
after
before
after
before
after

Opening Hours

DayHours
Monday8:30 a.m. - 5:30 p.m.
Tuesday8:30 a.m. - 5:30 p.m.
Wednesday8:30 a.m. - 5:30 p.m.
Thursday8:30 a.m. - 5:30 p.m.
Friday8:30 a.m. - 3:00 p.m.
Saturday8:00 a.m. - 2:00 p.m.
SundayClosed

YOUR Crowley TEAM

Crowley Office
Crowley Office
Crowley Office
Crowley Office
Crowley Office
Crowley Office
Crowley Office
Northlake Office
MB
Megan B.

Friendly staff and dentist was great and very fast! they were great with my children. I had a situation that needed to be taken care of immediately and they got my daughter in same day for an exam and a baby root canal! Definitely will be coming back regularly

TJ
Trinity J.

My 1st visit today was most welcoming. For someone who is terrified of the dentist I had a wonderful experience. Dr. Ledesma and staff walked me through everything and explained all my needs. Great place. I will be letting the take care of my needs forward!

GC
Gavino C.

Called this establishment for confirmation on walk-in appointments. I showed up and was seen in a matter of minutes. The staff is phenomenal and I received all the answers and care I needed. Highly recommended location.

DP
Denese P.

It was my first time here and I definitely chose the right place. The dentist, hygienist and staff were professional and very nice ! They made me feel so welcome and comfortable. I highly recommend!

You’ve made it this far. . .

FREE Teeth Whitening

Just ask at your first visit

Your Crowley ROOT CANAL EXPERTS

Frequently Asked Questions

Root canal jitters got you down? We get it!

Modern dentistry offers a far cry from the procedures of the past. Local anesthesia ensures minimal discomfort, and many patients report feeling much less anxious than they expected. Let our experienced team guide you through the process comfortably.

Root canals and tooth strength: Separating fact from fiction.

There is some truth to the idea that larger back teeth, especially molars, can be more vulnerable to fractures after a root canal. This happens because they lose their blood supply and become slightly brittle. To address this, dentists often recommend placing a crown on back teeth after the procedure for added strength. However, front teeth typically don't require crowns following root canal treatment.

Looking for a quick solution? Same-day root canals are available!

At Today Dental of Crowley, we understand the importance of swift pain relief and respect your time. We dedicate specific slots in our schedule for same-day root canals, aiming to get you out of pain and back to your daily life as quickly as possible. In the rare instance our office is closed, we'll work with our partner clinic to connect you with immediate care.

Pain-free doesn't always mean problem-free. Here's why.

It's important to understand that a root canal might be necessary even when you experience no pain. This often indicates the tooth is already "dead" (lacking a nerve), explaining the absence of discomfort. However, the infection inside the tooth can still spread and lead to serious complications like abscesses if left untreated. Our dentists utilize a comprehensive approach, including X-rays, to diagnose the true condition of your tooth and recommend the most appropriate treatment option.

Extraction vs. Root Canal: Weighing the long-term benefits.

While extracting a tooth may seem like a simpler solution initially, it can often lead to greater financial burdens down the road. Replacing a missing tooth with implants or dentures can be significantly more expensive than saving the natural tooth with a root canal (and potentially a crown). Additionally, each tooth plays a vital role in maintaining the structure and function of your jaw, preventing surrounding teeth from shifting and causing misalignment. Choosing a root canal can not only save you money but also contribute to a long-term healthy and stable smile, preserving your natural teeth for optimal chewing function and aesthetics.