Implants…

Absolutely!
Experience Matters.
0
Implants placed... and counting ;)

Your Crowley Dentist

Owners of Today Dental

Today Dental Crowley

Stronger implants in fewer visits

Thanks to advanced tech, our implant process is faster, requiring fewer appointments. Enjoy more time on the things you love and less time in the dental chair!

Durable long-lasting implants!

Quality is our promise at Today Dental of Crowley. Your confident smile is back with our advanced dental implants, using the latest tech and a variety of hydroxyapatite-coated titanium options!

High quality, low cost

At Today Dental of Crowley, we plan our dental implant treatment for efficiency, giving you a stellar dental experience that’s light on your wallet.

Better implant experience

We’re not just experienced dentists; we’re creators dedicated to the beauty of design and function of dental implants. Our expertise at Today Dental of Crowley is where your smile is our masterpiece!

Single or multiple implant options

Brace yourself for options! Single implants, implant retained dentures, overdentures or the popular All-On-Four – whatever you desire, we’re the experts at personalizing your treatment.

Implants without pain

Overcome dental pain and dentist fears with ease! Explore our sedation choices – IV sedation, nitrous oxide (laughing gas) or conscious sedation. Your pain-free dental experience begins at your friendly Crowley dentist.

One implant – Many solutions

Whether you require a single implant, multiple implants, an implant-retained overdenture, or an All-On-Four solution, we have you covered! Our commitment is to tailor your treatment to meet your needs.

Long-lasting implants

Feel confident smiling and eating! We never compromise on quality, using the latest implant technology and products available today.

Saving money

At Today Dental in Crowley, we streamline the implant process to maintain low costs, allowing us to pass savings directly to you. This ensures you receive outstanding care at a price within your budget.

Experienced dentists

Get your cleaning and dental implant all at one place. Don’t want to go from clinic to clinic seeing different doctors? At Today Dental of Crowley we do it all. Come see us Today!

Less implant appointments

We’ve made the implant process easy by using the latest advances in implant technology. More efficient, less appointments = More time cheering for the Cowboys!

Pain free dentistry

We know dental anxiety is common. With multiple sedation choices from IV sedation to Laughing Gas, you will be calm and pain-free. At Today Dental in Crowley, we specialize in accommodating those who fear the dentist!

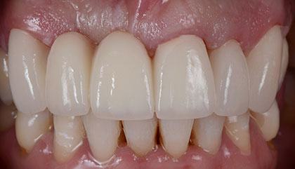
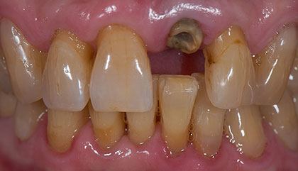
Love Your Smile, Love Your Implant

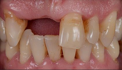
before
after
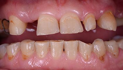
before
after
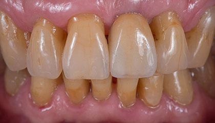
before
after
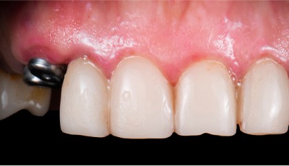
before
after

Opening Hours

DayHours
Monday8:30 a.m. - 5:30 p.m.
Tuesday8:30 a.m. - 5:30 p.m.
Wednesday8:30 a.m. - 5:30 p.m.
Thursday8:30 a.m. - 5:30 p.m.
Friday8:30 a.m. - 3:00 p.m.
Saturday8:00 a.m. - 2:00 p.m.
SundayClosed

YOUR Crowley TEAM

Crowley Office
Crowley Office
Crowley Office
Crowley Office
Crowley Office
Crowley Office
Crowley Office
Northlake Office
MB
Megan B.

Friendly staff and dentist was great and very fast! they were great with my children. I had a situation that needed to be taken care of immediately and they got my daughter in same day for an exam and a baby root canal! Definitely will be coming back regularly

TJ
Trinity J.

My 1st visit today was most welcoming. For someone who is terrified of the dentist I had a wonderful experience. Dr. Ledesma and staff walked me through everything and explained all my needs. Great place. I will be letting the take care of my needs forward!

GC
Gavino C.

Called this establishment for confirmation on walk-in appointments. I showed up and was seen in a matter of minutes. The staff is phenomenal and I received all the answers and care I needed. Highly recommended location.

DP
Denese P.

It was my first time here and I definitely chose the right place. The dentist, hygienist and staff were professional and very nice ! They made me feel so welcome and comfortable. I highly recommend!

You’ve made it this far. . .

FREE Teeth Whitening

Just ask at your first visit

Your Crowley DENTAL IMPLANT EXPERTS

Frequently Asked Questions

How long does the dental implant process take?

While multiple appointments are involved, the exact timeline can vary based on your individual needs. There are typically five main steps involved, although some patients may only require three depending on factors like existing bone health. Each step has an average healing period ranging from three to six months. Most patients at Today Dental of Crowley complete the entire process within four to five months

What's the cost involved in dental implants?

Implant costs can vary depending on individual circumstances. Typically, they range from $1,200 to $2,500 per implant, but this may not include additional procedures like extractions, bone grafting, abutments, or the final crown. We understand cost concerns at Today Dental of Crowley, and we're dedicated to making implants accessible through various options. We discuss various financial options and explore ways to make implants affordable for you. Additionally, we can help you maximize your dental insurance coverage to minimize out-of-pocket costs, and we offer our in-office CareDent Plan for additional discounts on your treatment.

What happens during the first visit?

During your first visit, we will conduct a comprehensive evaluation, assessing your bone health, gums, and overall oral health to determine if implants are the right choice for you. We will also present a transparent treatment plan outlining the necessary steps, timeline, and associated costs, ensuring there are no hidden fees. Whenever possible, we try to streamline the process by beginning treatment on the same day, minimizing the number of appointments required.

Why choose dental implants?

Dental implants offer several benefits compared to other tooth replacement options. They provide a natural look and feel, closely resembling natural teeth in both appearance and function. Additionally, with proper care, implants have a high success rate, providing a durable and reliable long-term solution for missing teeth.

Will it be painful?

Patient comfort is our top priority. Our experienced dentist utilizes the latest technology and techniques to minimize discomfort throughout the entire implant process. We also offer various pain management options, including local anesthesia, sedation dentistry, and nitrous oxide, to ensure a comfortable experience for every patient.